Department of Cardiology

About Department

Department of Cardiology is a vital part of the Medical College and Hospital. Here, training is provided to various level of personnel in Cardio Vascular Sciences. Two Post Doctoral students are taken in every year for training in DM Cardiology.

In addition, MD (General Medicine) and MBBS students are trained. Nurses and Technicians are also imparted expert education in Cardiology here.

Academics

The following courses are conducted in this Department:

  • DM (Cardiology). 02 seats per years, likely to be increased to 05
  • MD (General Medicine). Students are trained in rotation through this Department.
  • MBBS. Classes and clinics are taken by faculty from this Department.
  • BSc Cardio Vascular Technology.
  • PG Diploma Non Invasive Cardiology (Technician)
  • PG Diploma in Invasive Cardiology (Technician)
cardiology-img

PATIENT SERVICES & FACILITIES

services-facilities-img

Non Invasive Services

  • ECG
  • Colour Doppler & 3-D Echocardiography
  • Trans Esophageal Echocardiography
  • Stress Echocardiography
  • Paediatric Echocardiography
  • Peri Operative Echocardiography
  • Treadmill Exercise Stress Test
  • Holter Monitoring
  • 24 Hours Ambulatory BP Monitoring
  • Head Up Tilt Test

Invasive Services

  • Coronary Angiography
  • Diagnostic Cardiac Catheterisation
  • Pulmonary Angiography
  • Aortography
  • Renal Angiography
  • Coronary Angioplasty
  • Rotational Atherectomy (Rotablator)
  • Intra Vascular Ultra Sound (IVUS)
  • Coronary Invasive Physiology (FFR, DFR)
  • Intra Aortic Balloon Counter Pulsation (IABP)
  • Optical Coherence Tomography
  • Renal Angioplasty
  • Temporary Pacemaker Insertion
  • Permanent Pacemaker Implantation
  • Automatic Implantable Cardioverter Defibrillator (AICD) Implantation
  • Cardiac Resynchronisation Therapy (CRT) & CRT-D
  • Electrophysiological Study & Radio Frequency Ablation (EPS & RFA)
  • Trans Coronary Alcohol Ablation of Septal Hypertrophy (TASH)
  • Valvuloplasty, including PTMC, BPV, BAV, BTV
  • Device Closure of ASD, PDA, VSD, PFO
  • Trans Catheter Aortic Valve Replacement (TAVR)

At this hospital, all patients with ST elevation myocardial infarction are offered Primary Angioplasty (PAMI), which is the gold standard treatment for heart attack.

Achievements

The Department has grown from strength to strength over the past few years. Some recent achievements are:

  • Successful result of DM Cardiology exams over two years.
  • Conduct of DNB Cardiology exam at Bharati Vidyapeeth in August 2021. This is the first Super Specialty DNB exam held at this hospital.
  • Number of publications from the Department in indexed journals. There are 28 publications over two years from the faculty of this Department.
  • Faculty have been speakers/ moderators/ chairpersons at various academic fora.
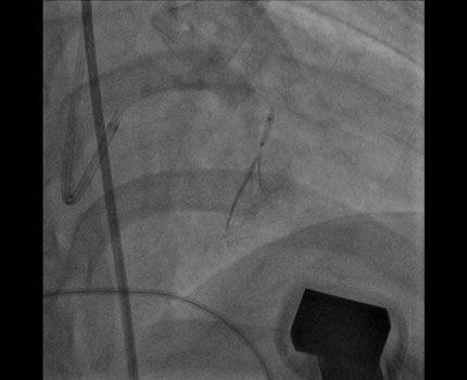
  • Non coronary interventions have been started. In 2020,. The first Trans-coronary Alcohol Ablation of Septal Hypertrophy for HOCM, a very high risk procedure, was done for the first time at Bharati Hospital
cardiology-achivment
lab

Trans Coronary Alohol Ablation of Septal Hypertrophy for HOCM

lab

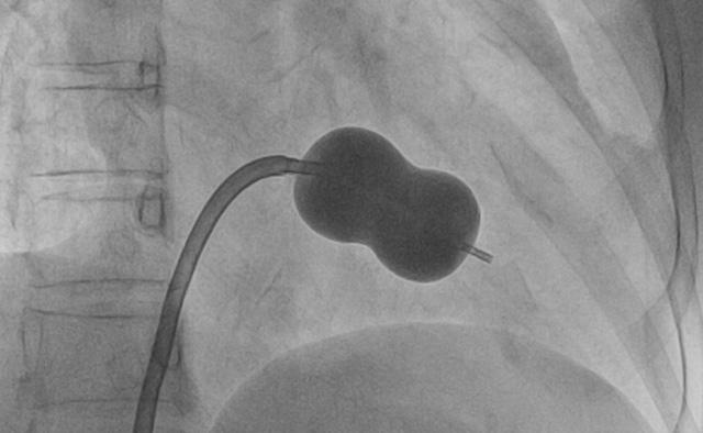
Coronary Angioplasty